Sei a Milano e hai notato una gengiva gonfia, arrossata o dolorante?
Attenzione, non devi sottovalutarla. Potrebbe trattarsi di un’infezione gengivale, un disturbo comune e che può evolvere in modo silente nella tua bocca. Le infezioni della gengiva possono estendersi più in profondità, coinvolgendo anche l’osso che sostiene il dente (parodonto). In alcuni casi non trattati, può diventare parodontite e causare la piorrea (perdita del dente).
Innanzitutto, ecco le cause principali:
Le infezioni gengivali sono spesso legate all’accumulo di placca batterica e tartaro. Tuttavia, le cause possono essere diverse:
- Scarsa igiene orale
- Gengivite non trattata
- Parodontite (infezione più profonda)
- Residui di cibo tra dente e gengiva
- Traumi o spazzolamento troppo aggressivo
- Fumo e stress
Quando i batteri si accumulano tra dente e gengiva, possono causare un’infezione localizzata, spesso accompagnata da gonfiore e dolore.
Ecco i sintomi da non ignorare dell’infezione gengivale:
I segnali di un’infezione gengivale possono variare in base alla gravità, ma i più comuni includono:
- Gengiva gonfia e arrossata
- Gengiva che comincia a ritirarsi
- Dolore localizzato o diffuso
- Sanguinamento durante lo spazzolamento
- Presenza di pus tra dente e gengiva
- Alito cattivo persistente
- Sensazione di pressione o fastidio
Nei casi più avanzati, l’infezione può estendersi fino all’osso (infezione osso gengiva), causando mobilità dentale e, se trascurata, perdita del dente.

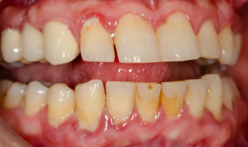
Esempio di infezione gengivale allo stato iniziale
Rimedi e trattamenti per l’infezione gengivale:
Il trattamento dipende dalla causa e dalla gravità dell’infezione. Nei casi iniziali, una corretta igiene orale e una pulizia professionale possono essere sufficienti, ma devi comunque prenotare una seduta dal tuo igienista dentale.
Se l’infezione è più avanzata, possono essere necessari trattamenti specifici come:
- Detartrasi profonda (pulizia sottogengivale)
- Terapie antibiotiche
- Trattamenti parodontali mirati
In presenza di infezione tra dente e gengiva o di gengiva molto gonfia, è fondamentale intervenire rapidamente per evitare complicazioni.
Quando rivolgersi a uno specialista:
Non aspettare che il dolore peggiori. In queste situazioni, il dolore non è sempre una sentinella affidabile. Anche una semplice gengiva gonfia può essere il primo segnale di un problema più serio.
Presso lo Studio Fleri, a Milano, è possibile effettuare una valutazione completa e ricevere un piano di trattamento personalizzato, mirato a risolvere l’infezione e prevenire recidive.
Intervenire in tempo è la chiave per mantenere gengive sane e proteggere il tuo sorriso nel lungo periodo. Prenota ora la tua visita allo Studio Dentistico Fleri.